Per lei, hanno fatto un piccolo miracolo. Hanno utilizzato l'osso di un donatore e un chiodo allungabile per ricostruire - per la prima volta al mondo - la caviglia di una bimba di 9 anni affetta da una rarissima forma di sarcoma osseo. E' successo all'ospedale Regina Margherita, grazie all'intervento di un'équipe di chirurghi ortopedici della Città della della Salute di Torino e dell'Istituto Ortopedico Rizzoli di Bologna.
Grazie all’intervento, la piccola paziente potrà tornare a camminare e non dovrà subire nuove operazioni in futuro. La procedura chirurgica è stata effettuata da un’équipe di ortopedici coordinata dal dottor Raimondo Piana (Chirurgia Oncologica e Ricostruttiva dell'ospedale CTO di Torino) insieme al dottor Marco Manfrini ed alla dottoressa Laura Campanacci della Clinica di Ortopedia Oncologica del Rizzoli diretta dal professor Davide Donati.
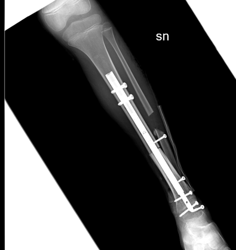
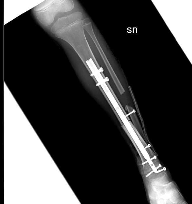
La bimba, dopo la diagnosi, è stata sottoposta a chemioterapia presso il reparto di Oncoematologia pediatrica dell’ospedale Regina Margherita (diretto dalla professoressa Franca Fagioli) e nei giorni scorsi è stata sottoposta all’intervento di asportazione del tumore e salvataggio della caviglia con ricostruzione con osso omoplastico da donatore e sintesi con un chiodo allungabile, in modo da permettere la regolare crescita dell’arto senza necessità di ulteriori interventi.
La tecnica eseguita rappresenta una assoluta novità in quanto il chiodo inserito per stabilizzare l’impianto permetterà nei prossimi anni anche la regolare crescita dell’arto permettendo l’allungamento al termine della maturazione scheletrica. La chirurgia è stata pianificata nei minimi dettagli dalle due équipes di medici ed ingegneri nelle settimane precedenti. Nonostante la pandemia da Covid-19 le cure legate a questo tipo di patologie si sono svolte regolarmente e senza ritardi. La bimba ora sta bene ed è stata appena dimessa.
Negli ultimi 30 anni si è vissuta la straordinaria evoluzione di nuove tecniche chirurgiche specifiche per lo scheletro infantile, riducendo drasticamente il numero di amputazioni e riuscendo ad applicare nella maggior parte dei casi un approccio conservativo - ricostruttivo, volto a migliorare il recupero funzionale e ad assicurare una migliore qualità di vita ai pazienti e alle famiglie. Le strategie chirurgiche disponibili sono oggi molteplici, comprendono pianificazioni virtuali della resezione ossea e ricostruzione mediante impianti protesici espandibili, protesi costruite su misura (anche con stampanti 3D), innesti ossei omoplastici provenienti dalle Banche di Tessuto Muscoloscheletrico e trapianti di osso autoplastico vascolarizzato, mezzi di sintesi originali. Tecniche diverse sono frequentemente usate in combinazione tra loro con risultati molto soddisfacenti, ma manca ancora l’esperienza sull’evoluzione a lungo termine degli impianti utilizzati. La chirurgia dei sarcomi ossei pediatrici, con originali strategie terapeutiche e costanti innovazioni dal punto di vista della tecnica chirurgica, dei dispositivi e dei materiali utilizzati, rappresenta quindi un ambito su cui approfondire la ricerca e favorire la presenza di una rete nazionale dei centri specialistici per trovare le soluzioni ricostruttive più adatte a ogni singolo caso.
Con questo obiettivo è nato il progetto di Archivio multicentrico sulla chirurgia pediatrica dei tumore ossei con l’approvazione ed il supporto dell’AIEOP (Associazione Italiana di Ematologia e Oncologia Pediatrica). L’Italia è sempre stata all’avanguardia in questo campo, ma mancano vere e proprie Linee guida condivise a livello nazionale e le conoscenze sono comunque limitate data la rarità di queste patologie. Un archivio informatico che possa raccogliere su base nazionale i dati relativi al trattamento chirurgico di ogni paziente, con tutte le informazioni e caratteristiche del paziente stesso, la diagnosi, l’iter terapeutico, il follow-up e le eventuali ricadute, così da ottenere una visione completa del quadro clinico e monitorare l’evoluzione nel tempo di ciascun caso, rappresenta uno strumento essenziale per capire, oggi e in futuro, qual è la soluzione di cura migliore per ogni nuovo paziente.
Al progetto hanno finora aderito, insieme alla Città della Salute di Torino ed al Rizzoli di Bologna, il CTO e l’Ospedale Mayer di Firenze e l’Istituto Gaetano Pini di Milano.




![L’intelligenza artificiale per liberare tempo nelle imprese a beneficio dei clienti [VIDEO] L’intelligenza artificiale per liberare tempo nelle imprese a beneficio dei clienti [VIDEO]](https://www.piazzapinerolese.it/fill/90/90/fileadmin/archivio/chivassoggi/2026/02/e_c3d85ad7b1.png)










